精准锁定,镜下“排雷”——内镜巧取异物,患者转危为安
引言:消化道异物是急诊常见情况,指被误吞或故意吞入并停留在食道、胃、肠等消化管腔内的物体。多见于儿童、老年人及精神障碍者,但成人因进食匆忙、注意力不集中等原因也时有发生。异物存留可引起黏膜损伤、梗阻、穿孔甚至大出血等并发症,及时诊断与干预至关重要。
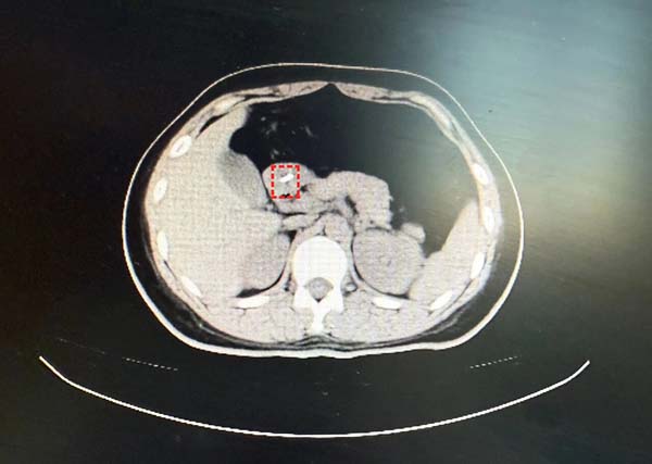
患者付某,女性,27岁,因“不慎吞食异物40分钟”于2025年12月23日18:04至中国中医科学院望京医院急诊外科就诊。患者无明显胸痛、腹痛、咽痛等不适。上腹、下腹、盆腔CT平扫:胃窦腔内细条形金属样高密度影,结合病史,考虑异物可能性大。与患者及家属充分沟通病情、交代内镜操作相关风险并获知情同意后,消化科牛然副主任医师带领内镜团队迅速为患者施行内镜下消化道异物取出术。镜下所见:进镜至十二指肠水平段时,于肠腔内探及一枚长约2厘米的金属细钉。该异物位置较深、形态细长,有坎顿、出血或穿孔的风险。幸运的是异物钳配合透明帽取出,过程顺利,所经过消化道粘膜观察无破损及划伤,患者无不适症状。



CT图

十二指肠水平部发现异物

异物钳配合透明帽取出过程

长约2cm尖锐金属细钉
消化道异物与经内镜消化道异物取出术
一、什么是消化道异物?
消化道异物是指被误吞或故意吞入并停留在食道、胃、肠等消化管腔内的物体。常见于:儿童:误吞硬币、电池、磁铁、玩具零件等。成人:鱼刺、骨头、假牙、枣核、食团、故意吞服的物品(如刀片等)。
二、吞入异物有什么危险?
危险程度取决于异物的大小、形状、材质和停留部位。可造成:机械性损伤:尖锐异物可刺破消化道,导致出血、穿孔、纵隔或腹腔感染。梗阻:大块异物可引起食道或肠梗阻。窒息风险:尤其发生在咽喉部或食道上段时。化学损伤:如纽扣电池泄漏腐蚀性液体,可迅速导致组织坏死、穿孔。中毒:某些异物含有毒性物质。
三、如果误吞了异物,该怎么办?
牢记两个“不要”和一个“要”:
·不要强行吞咽饭团、馒头等试图将异物推下,这可能加重损伤或导致嵌顿。
·不要盲目催吐,尤其对于尖锐或腐蚀性异物,呕吐过程可能造成二次伤害。
·要立即停止进食饮水,尽快前往医院急诊科就诊,并尽可能告知医生异物的性质、形状和吞服时间。
四、治疗——经内镜消化道异物取出术:
这是什么?一种微创技术,医生将带有摄像头的柔软内镜(胃镜)经口伸入消化道,找到异物后,使用套圈、网篮、抓钳等专用工具,将异物抓牢,随内镜一起退出体外。
·优点:创伤小、恢复快、大多数异物可经此方法成功取出,避免开腹手术。
·适用:绝大多数位于食道、胃及十二指肠上段的异物。
·后续:取出后,医生会检查黏膜损伤情况。轻微损伤可能无需特殊处理,严重者需住院观察或药物治疗。
五、如何预防?
进食时细嚼慢咽,注意力集中。尤其吃鱼、鸡鸭等带骨食物时专心;为婴幼儿营造安全的玩耍环境,将小物件放在其拿不到的地方;固定好假牙,睡前取下;避免将非食品物品(如针、钉子)含在口中。
总结:误吞异物并非小事,及时、正确的医疗干预是关键。现代医学,特别是内镜技术,为消化道异物提供了高效、安全的解决方案。提高防范意识,掌握应急处理原则,才能更好地守护自己和家人的健康。
术者简介

牛然 副主任医师
牛然:副主任医师、硕士研究生导师。主要研究中西医结合治疗功能性胃肠病、胰胆系疾病。从事中西医结合防治脾胃病的理论、临床与基础研究,曾在国家消化系统疾病临床医学研究中心首都医科大学附属北京友谊医院进修,善于应用消化内镜技术与中西医结合的方法治疗脾胃系疾病及中医内科杂症,曾作为中医脾胃保健专家参与保健任务。
专家诊时间:周二下午、周三上午、周四下午




